Un œil expert, instantané
L'intelligence artificielle au service de votre diagnostic. Détectez plus vite, tracez automatiquement et offrez une vision claire à vos patients.
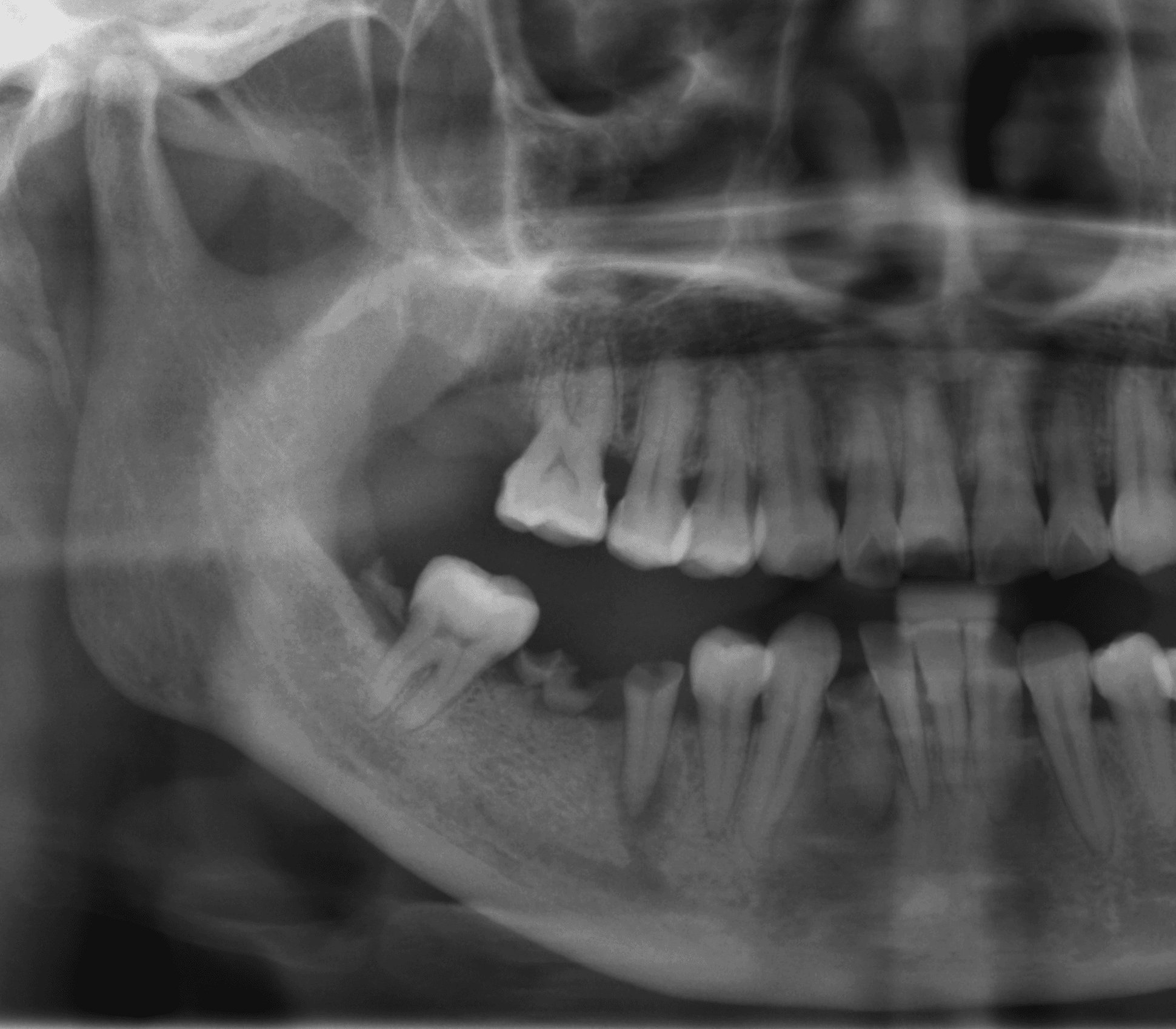
Diagnostic assisté par IA
Gagnez un précieux temps lors de vos consultations. L'IA de SmiloLink identifie automatiquement les caries, les lésions apicales et d'autres pathologies sur vos radiographies panoramiques et rétroalvéolaires.
Céphalométrie automatisée
Idéal pour l'orthodontie. Le placement automatique des points céphalométriques et le calcul instantané des angles et mesures accélèrent drastiquement la préparation de vos traitements ODF.
Prêt à digitaliser votre cabinet ?
Rejoignez SmiloLink gratuitement et commencez à gérer votre activité dès aujourd'hui.


